Neurorradiologia
Intervencionista em Curitiba.
Especialista no tratamento de
AVC e aneurismas cerebrais
com técnicas minimamente invasivas
Ofereço
tratamentos minimamente invasivos
para doenças neurovasculares, proporcionando mais segurança, menos dor e uma recuperação rápida.

Diagnóstico e tratamento de aneurismas cerebrais, AVC, estenose de carótida e MAV cerebral

Procedimentos minimamente invasivos para maior segurança e recuperação acelerada

Experiência internacional e atuação em hospitais de referência em Curitiba

ESPECIALIDADE
O que é a Neurorradiologia Intervencionista?
A Neurorradiologia Intervencionista é uma especialidade médica que utiliza técnicas minimamente invasivas para diagnosticar e tratar doenças dos vasos sanguíneos do cérebro e da medula espinhal.
Em vez de cirurgias abertas, os procedimentos são realizados através de um cateter inserido na virilha, que é guiado pelos vasos até o local da lesão com o auxílio de imagens em tempo real.
Conheça
Tratamentos avançados
para doenças neurovasculares

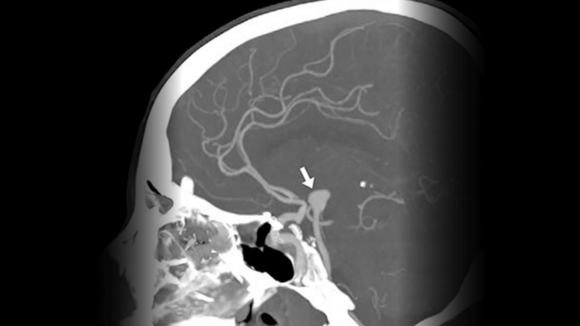
ANEURISMA CEREBRAL
O aneurisma cerebral é uma dilatação na parede de uma artéria do cérebro. Pode ser tratado por embolização, técnica minimamente invasiva que evita a ruptura do aneurisma.

AVC ISQUÊMICO
Bloqueio do fluxo sanguíneo em uma parte do cérebro. O tratamento pode incluir trombectomia mecânica, que remove o coágulo e restabelece a circulação.

AVC HEMORRÁGICO
Ocorre quando um vaso sanguíneo no cérebro se rompe, causando um sangramento que pode levar a inchaço e danos às células cerebrais.

ESTENOSE DE CARÓTIDA
Estreitamento da artéria carótida, aumentando o risco de AVC. O tratamento pode ser feito por angioplastia com stent, sem necessidade de cirurgia aberta.

MALFORMAÇÃO ARTERIOVENOSA (MAV)
Conexão anormal entre artérias e veias. Pode ser tratada por embolização, cirurgia ou radiocirurgia.
Dr. Marcelo Bolcato
CRM 17796. RQE 14541
Olá! Sou o Dr. Marcelo Bolcato, médico especializado em Neurorradiologia Intervencionista, com mais de 20 anos de experiência no diagnóstico e tratamento de doenças neurovasculares. Minha missão é proporcionar tratamentos modernos, seguros e minimamente invasivos para garantir a melhor recuperação dos meus pacientes.
Me formei pela Faculdade Evangélica de Medicina do Paraná e me especializei em Angiologia, Cirurgia Vascular e Neurorradiologia Intervencionista no Brasil, na França e nos Estados Unidos.

onde estou atuando
Atualmente, atuo nos principais hospitais de Curitiba, trazendo o que há de mais avançado na medicina neurovascular para tratar aneurismas cerebrais, AVC isquêmico, estenose de carótida e malformações arteriovenosas (MAVs).
PRINCIPAIS
Dúvidas comuns
Quando procurar por um neurorradiologista intervencionista?
Você deve procurar este profissional quando há suspeita ou diagnóstico de doenças que afetam os vasos sanguíneos do cérebro e da medula espinhal. Com essa especialidade é possível realizar tratamentos minimamente invasivos, que podem evitar cirurgias abertas e reduzir o tempo de recuperação.
O que é angiografia cerebral?
É um exame que avalia os vasos sanguíneos do cérebro para diagnosticar aneurismas, MAVs e estenoses carotídeas.
O que devo fazer se suspeitar que alguém está tendo um AVC?
Procure ajuda imediata: Se notar sinais como fraqueza repentina em um lado do corpo, dificuldade para falar, perda de visão ou a “pior dor de cabeça da vida”, ligue imediatamente para o serviço de emergência.
O que é um aneurisma cerebral?
É uma dilatação em uma artéria do cérebro que pode romper e causar um AVC hemorrágico.
Os procedimentos são dolorosos?
Os tratamentos minimamente invasivos, como embolização e angioplastia, são realizados com anestesia e possuem recuperação rápida.
De modo geral, quanto tempo dura o internamento?
Tudo depende do quadro do paciente mas, geralmente, apenas 2 dias: 1 dia na UTI para observação e outro no quarto antes da alta.
CONFIRA MINHAS
Avaliações
ME ACOMPANHE NO